Bildexempel
Före – efter
Här nedan följer en rad exempel på behandlingar utförda av oss. Klicka nedan på de olika typerna av behandlingar för att se bildexemplen.

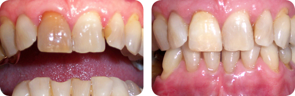
Direktblekning av missfärgad framtand (utförs på kliniken).
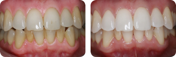
Tandstensskrapning och putsning, därefter generell blekning av alla tänder.
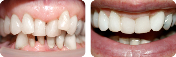
Generell blekning av tänderna. Missfärgad, trångställd och framåttippad framtand har försetts med krona som har tillverkats så att den passar bättre in i tandraden.
Den slitna och lagade emaljen på framtänderna har slipats bort och ersatts med skalfasader i porslin.
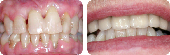
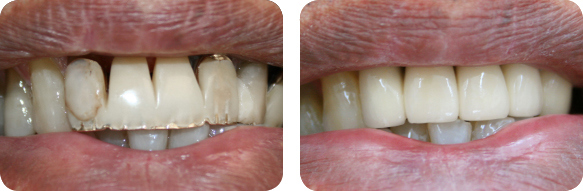
Gamla och slitna kronor har slipats bort och ersatts med nya kronor.
Missfärgad, trångställd och framåttippad framtand har försetts med krona som har tillverkats så att den passar bättre in i tandraden. Därefter en generell blekning av tänderna.
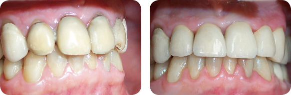
Krona med fel färg och form på högra framtanden har ersatts med ny krona som är bättre anpassad till tanden både färg- och formmässigt.
Gluggen till höger om framtänderna har blivit ersatt med bro som stödjer sig på de två granntänderna baktill. Den andra tanden från vänster har försetts med en krona på grund av en stor och sliten lagning.
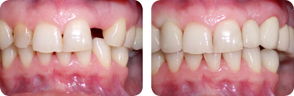
Den vänstra framtanden satt limmad vid tanden bredvid eftersom den satt lös. För att uppnå bättre stabilitet i överkäken togs den bort och ersattes med en bro.
Den saknade tanden ersattes med en bro. Tänderna intill gluggen blev stödtänder för bron och tack vare brobehandlingen fick dessa bättre färg och form.
Den slitna gamla bron av guld och akryl på framtänderna har ersatts med ny bro av porslin.
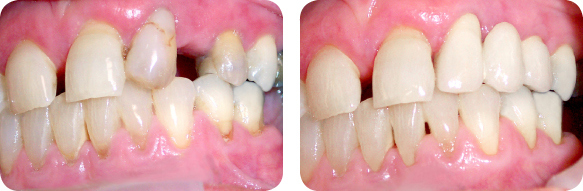
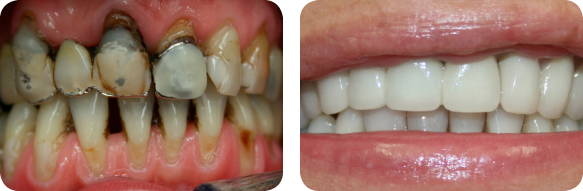
Gamla och kraftigt slitna kronor och tandfyllningar har ersatts med nya kronor.
Den grå skuggningen i tandköttet kunde undvikas genom att ersätta den gamla implantatkronan som bestod av en metallegering med en ny implantatkrona bestående av en zirkoniumkärna. Eftersom zirkonium är kritvit i färgen ger den ingen skuggning av tandköttet.
Glugg på vänster sida av tre saknade tänder har ersatts med implantatbro bestående av tre sammansatta kronor på två fixturer.
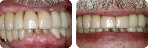
Båda bilderna visar resultatet av en implantatbehandling av helt tandlös överkäke.
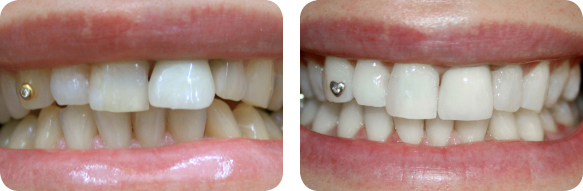
Mellanrum mellan framtänderna har blivit minskat genom kompositlagningar.
Mellanrum mellan framtänderna har blivit minskat genom kompositlagningar.
Trångställd tand har blivit borttagen och tandraden i framkanten utjämnad genom kompositfasader på framtänderna. Därmed har gluggen efter den trångställda tanden blivit dold.


